Skip Menu
Continue
  • 327 Nassau Boulevard,
  • Garden City South, NY 11530
See Our Reviews on Google
  • Home
  • Our Doctor
    • Amit Sood, DDS
  • About Us
    • Our Staff
    • Promotions
    • Community Events
  • Locations
    • Garden City
    • Jackson Heights
  • Testimonials
  • New Patient Info
  • Dental Health
  • Contact
    • Contact Us
    • Request Appointment
  • Social

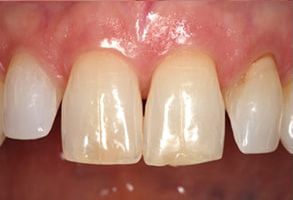
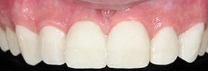
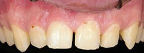
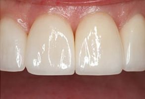
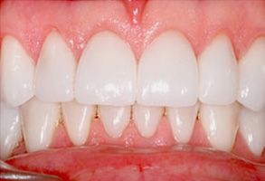
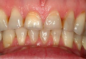
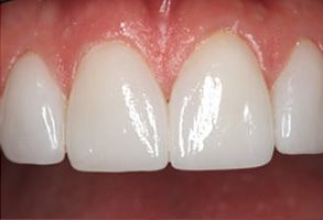
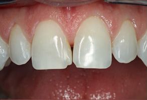
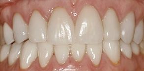
Smile Gallery

Additional Information

Our Location

327 Nassau Boulevard
Garden City South, NY 11530
(516) 629-5436

Follow Us